Czy pojedyncza zmiana w buzi malucha zawsze wymaga paniki? To pytanie często zadają sobie rodzice, gdy zauważą jasną plamkę w jamy ustnej swojego dziecka.
W wielu przypadkach taka zmiana to łagodny objaw fizjologiczny, na przykład perły Epsteina lub początek ząbkowania. Inne razy może to być infekcja, jak pleśniawka Candida, która wymaga leczenia.
W tekście wyjaśnimy proste sposoby oceny w domu, jak rozpoznać niepokojące objawy i kiedy warto skontaktować się ze specjalistą.
Nie zalecamy mechanicznego usuwania — zdrapywanie lub naciskanie może spowodować krwawienie i nadkażenie. Artykuł poprowadzi rodziców krok po kroku przez przyczyny i praktyczne wskazówki, by chronić komfort i życie małego pacjenta.
Najważniejsze w skrócie
- Samodzielna ocena zmiany pomaga uniknąć niepotrzebnego stresu.
- Perły Epsteina, ząbkowanie i pleśniawka to najczęstsze scenariusze.
- Zwróć uwagę na ból, gorączkę i trudności w karmieniu.
- Nie zdrapuj ani nie przekłuwaj zmiany — ryzyko nadkażenia.
- Gdy objawy szybko się nasilają, skontaktuj się z pediatrą.
Co może oznaczać biała kropka w jamie ustnej dziecka i czy to powód do niepokoju
Jasna plamka w jamie ustnej dziecka może mieć różne przyczyny, od łagodnych po wymagające opieki medycznej.
Rodzice często opisują zmianę jako grudkę, punktowe zbielenie, nalot lub nadżerkę. Te określenia mogą być wskazówką, bo wygląd pomaga rozróżnić przyczyny.
Kiedy można obserwować?
- pojedyncza, mała plamka, bez narastania;
- prawidłowe ssanie i sen;
- brak gorączki i wyraźnego bólu.
Czerwone flagi — skontaktuj się z lekarzem:
- ból przy karmieniu lub niechęć do jedzenia;
- gorączka powyżej 38°C, apatia, krwawienie;
- szybkie pojawianie się wielu ognisk lub nieprzyjemny zapach z jamy.
Nie przypisuj automatycznie ostrych objawów ząbkowaniu. Nie zdrapuj nalotu, nie przekłuwaj grudek i nie stosuj leków bez wskazań — takie działanie może pogorszyć stan błony śluzowej.
| Wygląd | Możliwe przyczyny | Proste działanie |
|---|---|---|
| Pojedyncza biała plamka | Perła Epsteina, resztki pokarmu | Obserwacja, higiena jamy |
| Rozległy nalot | Pleśniawka (grzybica) | Konsultacja z pediatrą, leczenie |
| Bolesna nadżerka | Afta, uraz | Konsultacja i opieka lekarza |
Szybka ocena w domu: jak sprawdzić białą zmianę na dziąśle niemowlaka krok po kroku
Porady praktyczne zaczynamy od przygotowania: wybierz dobre światło, umyj dokładnie ręce i miej pod ręką wilgotny gazik.
Sprawdź miejsce zmiany: czy jest na dziąsłach, na języku, wewnętrznej stronie policzka czy na podniebieniu. Lokalizacja zawęża możliwe przyczyny.
Opisz wygląd: czy to wypukła grudka, płaski nalot, punktowe zbielenie, jaki ma kolor i czy występuje czerwona obwódka. Zwróć też uwagę na liczbę zmian.
Wykonaj delikatny test gazikiem: lekko przetrzyj wilgotnym gazikiem. Jeśli resztki mleka schodzą, to inny przypadek niż wtedy, gdy zmiana nie ustępuje, pojawia się opór lub krwawienie.
Zalecany mini-protokół na 3–7 dni: codzienne zdjęcie w tym samym miejscu i świetle, zapisywanie karmień, snu i temperatury. To pomoże zauważyć trend: ustępuje czy się nasila.
- Przy nasileniu, powiększaniu się zmiany lub gdy dziecka zaczyna gorzej jeść — skonsultować się z pediatrą wcześniej.
- Jeśli pojawią się kolejne ogniska lub gorączka, nie zwlekaj ze zgłoszeniem się po pomoc.
Perły Epsteina u noworodka: częsta i łagodna przyczyna białych kropek
Perły Epsteina to małe, łagodne torbielki rogowinowe wypełnione keratyną. Zwykle mierzą 1–3 mm i wyglądają jak drobne, białe lub żółtawe grudki.
Najczęściej występują na podniebieniu lub w okolicach dziąseł. Mogą być pojedyncze lub ułożone w małe grupy.
U około 60–85% noworodków te zmiany pojawiają się w pierwszych dniach życia i zazwyczaj ustępują samoistnie w ciągu kilku tygodni lub miesięcy. Perły nie są bolesne i nie powinny zaburzać ssania ani snu.
Zasady postępowania:
- Obserwacja i delikatna higiena jamy ustnej.
- Nie przekłuwać, nie zeskrobywać i nie manipulować mechanicznie.
- Jeśli dziecko gorzej ssie lub pojawiają się inne objawy, skonsultuj się z pediatrą.
Perły to naturalny element rozwoju błony śluzowej i rzadko wymagają interwencji.
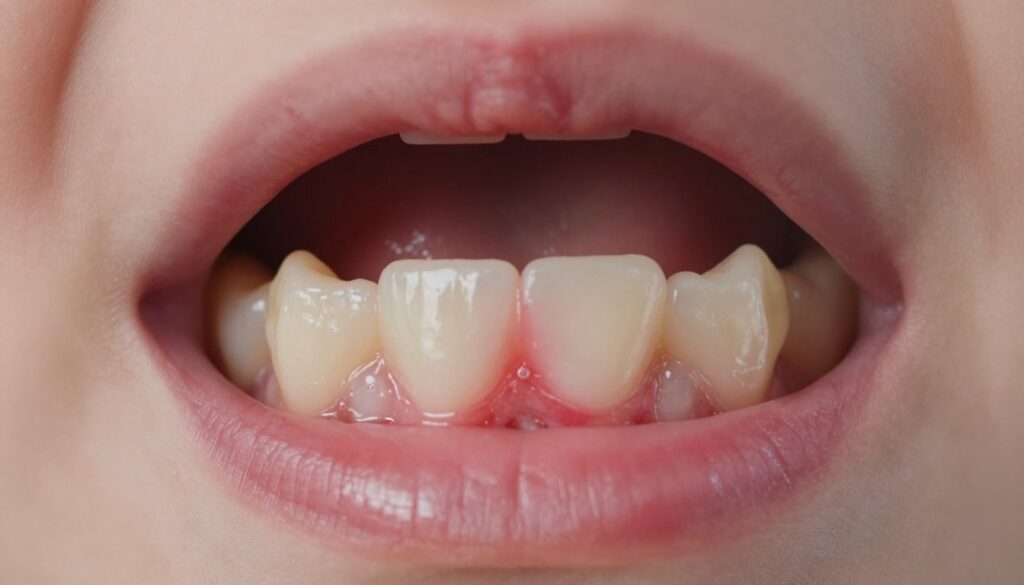
Biała kropka na dziąśle u niemowlaka a ząbkowanie: jak rozpoznać wyrzynanie zębów
Wyrzynanie zębów często zaczyna się od małego, punktowego zbielenia dokładnie tam, gdzie korona naciska od spodu.
Przed przebiciem dziąsło bywa obrzęknięte i zaczerwienione. W miejscu wyrzynania może wystąpić widoczne, twarde zbielenie.
Typowe objawy ząbkowania: wzmożone ślinienie, potrzeba gryzienia, rozdrażnienie i krótszy sen. Temperatura bywa lekko podwyższona, zwykle poniżej 38°C.
Czego nie przypisywać ząbkowaniu: wysoka gorączka powyżej 38°C, wyraźna apatia lub ostre objawy wymagają kontaktu z pediatrą.
Bezpieczne sposoby ulgi: schłodzony (z lodówki, nie z zamrażarki) gryzak, delikatny masaż czystym palcem lub silikonową szczoteczką. Obserwuj to samo miejsce dzień po dniu.

| Objaw | Co wygląda | Proste działanie |
|---|---|---|
| Punktowe zbielenie | Małe, twarde zgrubienie | Obserwacja, masaż, schłodzony gryzak |
| Obrzęk i zaczerwienienie | Dziąsła tkliwe, napięte | Delikatne oczyszczanie, obserwacja |
| Gorączka >38°C | Objawy ogólne | Konsultacja z pediatrą |
Pleśniawki i inne infekcje: gdy białe plamki nie schodzą i pojawiają się w wielu miejscach
Pleśniawki to infekcja grzybicza, najczęściej wywołana przez Candida albicans. Objawia się białymi, serowatymi plamkami na języku, podniebieniu, policzkach i dziąsłach.
Zmian tych nie usuwa zwykłe przetarcie. Próba zdzierania może spowodować ból i krwawienie. Gdy nalot pojawia się w kilku miejscach jednocześnie, rośnie prawdopodobieństwo infekcji.
Malec może być bardziej rozdrażniony, odrywać się od piersi lub butelki i słabiej ssać. To ważny sygnał, by skonsultować się z lekarzem.
Leczenie zwykle obejmuje miejscowe preparaty przeciwgrzybicze w postaci żelu lub kropli. Lekarz dobierze produkt i schemat dawkowania odpowiedni do wieku.
- Różnica od resztek mleka: mleko z reguły schodzi przy przetarciu.
- Higiena: myj, wyparz i dezynfekuj smoczki, butelki i gryzaki.
- Nie stosuj leków „na ślepo” — potwierdź rozpoznanie przed leczeniem.
Afty, nadżerki i urazy mechaniczne dziąseł: bolesna biała plamka z czerwoną obwódką
Afty i urazy mechaniczne często dają jasne centrum otoczone czerwienią. Zmiana bywa bolesna przy dotyku i może nasilić płacz podczas karmienia.
W odróżnieniu od perłowych grudek, nadżerka wygląda jak otarcie lub owrzodzenie. Przy dotyku dziecko odczuwa wyraźny ból, a powierzchnia może być nieregularna.
Najczęstsze źródła urazu to twarde gryzaki, źle dopasowany smoczek, element butelki lub zbyt intensywne pocieranie podczas czyszczenia.
Co zrobić od razu:
- Usuń drażniący przedmiot i sprawdź stan smoczka.
- Ogranicz tarcie miejsca podczas mycia.
- Zadbaj o delikatną higienę — wilgotny gazik lub miękka szczoteczka.

| Objaw | Wygląd | Przyczyny | Proste działanie |
|---|---|---|---|
| Bolesna plamka | Jasne centrum, czerwona obwódka | Uraz mechaniczny, otarcie | Usunąć źródło, delikatna higiena |
| Owrzodzenie | Nieregularne brzegi, możliwe krwawienie | Intensywne pocieranie, twardy gryzak | Unikać tarcia, obserwacja 3–7 dni |
| Przewlekająca się rana | Nie goi się lub się powiększa | Stałe drażnienie, możliwe nadkażenie | Konsultacja z lekarzem |
Drobne urazy zwykle goją się w kilka dni, jeśli przerwiesz drażniący kontakt. Jeśli zmiana się utrzymuje, rośnie lub towarzyszy jej wysoka temperatura — skonsultuj się z pediatrą lub stomatologiem dziecięcym.
Kiedy skontaktować się z pediatrą lub dentystą dziecięcym i jak zadbać o spokój w kolejnych dniach
Gdy zmiana w jamie ustnej utrzymuje się lub dziecko gorzej je, skonsultować się z pediatrą jest wskazane. Pilna wizyta potrzebna jest też przy gorączce >38°C, krwawieniu lub szybkim rozszerzaniu zmian.
Do specjalisty zgłoś się, gdy malec odmawia jedzenia albo ma wyraźny ból. Przy problemach miejscowych lepszy będzie dentysta dziecięcy; pediatrą zajmie się objawami ogólnymi i infekcjami.
Przygotuj dokumentację: zdjęcia tej samej zmiany przez 2–3 dni, notatki o karmieniach i temperaturze. Zapis to cenna pomoc w diagnostyce zmian w jamie ustnej.
Plan na kolejne dni: obserwuj trend (lepiej czy gorzej), nie zdrapuj zmian, dbaj o higienę akcesoriów i nawodnienie. Produkty do łagodzenia ząbkowania dobieraj ostrożnie. Pierwsza kontrola stomatologiczna powinna odbyć się w pierwszym roku życia lub gdy pojawiają się pierwsze zęby.
