Kiedy szczeniakom wypadają zęby – etapy wymiany zębów u młodego psa
Czy zastanawiałeś się, kiedy u twojego pupila zacznie się wymiana zębów i co oznaczają pierwsze oznaki? Wymiana uzębienia u psa zw…
Dowiedz się więcejCo jeść po usunięciu zęba – bezpieczne posiłki i czego unikać po zabiegu
Czy wiesz, że pierwsze godziny po ekstrakcji decydują o tym, jak szybko zasklepi się rana i czy powstanie stabilny skrzep? Ten kró…
Dowiedz się więcejIle kanałów ma ząb 5 dolny – typowa anatomia i możliwe warianty
Czy naprawdę da się przewidzieć, ile kanałów ma piątka w żuchwie przed rozpoczęciem leczenia? To pytanie często pojawia się tuż pr…
Dowiedz się więcejCzy jedna data w kalendarzu wystarczy, by zadbać o zdrowie jamy ustnej? To pytanie zmusza do myślenia, bo sama liczba miesięcy nie zawsze oddaje rzeczywiste…
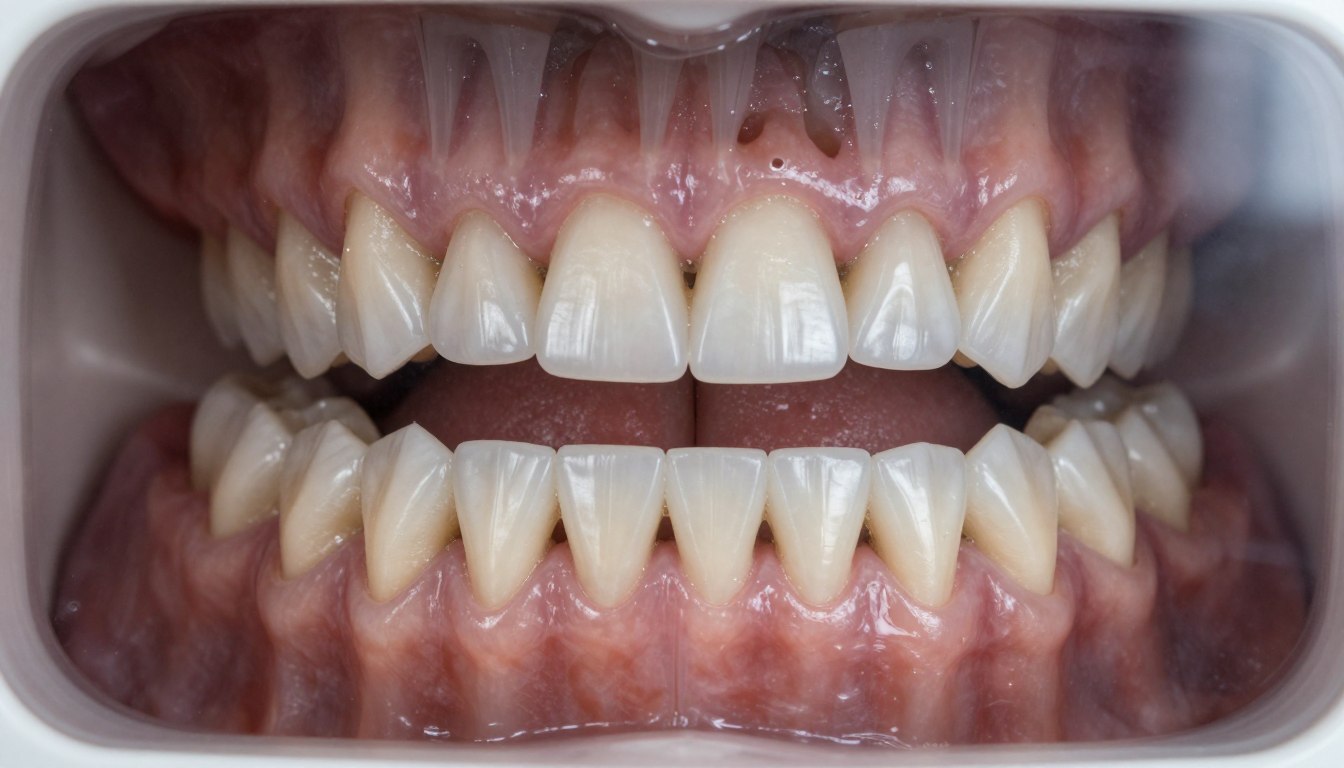
Czy zabieg rzeczywiście wywołuje ból, czy raczej krótkotrwały dyskomfort? To pytanie pojawia się najczęściej przed decyzją o zmianie koloru uśmiechu. Zwykle pacjenci nie odczuwają silnego…
Czy wiesz, kiedy ból przy noszeniu uzupełnienia to tylko chwilowa adaptacja, a kiedy znak, że trzeba działać natychmiast? Ból i dyskomfort są częste, lecz nie…
Czy możesz rozpoznać, że pierwszy ząb nadchodzi, zanim go zobaczysz? To pytanie często spędza sen z powiek rodzicom niemowląt. Wygląd i napięcie tkanek w jamie…
Zdjęcie panoramiczne zębów – jak to wygląda i co można zobaczyć na pantomogramie
Czy jedno ujęcie może pokazać cały stan jamy ustnej i ujawnić problemy, których nie czułeś wcześniej? Pantomogram (OPG) to panoramiczne RTG, które w jednym obrazie ukazuje pełne uzębienie, kości szczęki i żuchwy, stawy skroniowo‑żuchwowe oraz zatoki szczękowe. Badanie jest szybkie…
Podrażnione dziąsła – domowe sposoby na ukojenie śluzówki i zmniejszenie bólu
Czy krwawiące, piekące lub obrzęknięte dziąsła mogą odebrać radość jedzenia i rozmowy — i co zrobić już dziś, zanim odwiedzisz stomatologa? W tym krótkim wprowadzeniu wyjaśnimy, czym są najczęstsze dolegliwości…
Czy ściąganie szwów z dziąsła boli – czego się spodziewać po zabiegu i jak się przygotować
Czy naprawdę trzeba się bać jednej wizyty, która trwa kilka minut? To pytanie często pojawia się u osób planujących kontrolę po zabiegu w jamie ustnej. W praktyce większość pacjentów odczuwa…



















